Das Röntgen ist eines der ältesten und am häufigsten eingesetzten bildgebenden Verfahren in der Medizin. Dabei werden Röntgenstrahlen genutzt, um Bilder von Knochen, Organen und Geweben im Körper zu erstellen.
Röntgenuntersuchungen helfen bei der Diagnose von Knochenbrüchen, Gelenkveränderungen, Lungenerkrankungen und vielen weiteren Erkrankungen. Die Bilder zeigen die Strukturen im Inneren des Körpers und ermöglichen so eine schnelle und präzise Beurteilung.
Die Strahlenbelastung bei einer Röntgenaufnahme ist in der Regel sehr gering und wird durch moderne Geräte bestmöglich minimiert. Dennoch wird das Verfahren nur dann angewendet, wenn es medizinisch notwendig ist.
Digitale Durchleuchtung
Röntgen-Breischluck
Die digitale Durchleuchtung ist ein modernes und vielseitiges bildgebendes Verfahren, das Echtzeit-Röntgenbilder des menschlichen Körpers erzeugt. Anders als bei herkömmlichen Röntgenaufnahmen, die statische Bilder zeigen, ermöglicht die digitale Durchleuchtung die Beobachtung von bewegten Strukturen und Funktionen innerhalb des Körpers live auf einem Monitor.
Die gewonnenen Daten werden sofort digital verarbeitet und auf einem Bildschirm dargestellt. So kann der Arzt Vorgänge wie die Bewegung von Gelenken, den Transport von Kontrastmitteln durch den Magen-Darm-Trakt oder den Blutfluss in Gefäßen in Echtzeit verfolgen.
Die digitale Durchleuchtung findet breite Anwendung in vielen medizinischen Bereichen. Beispielsweise wird sie genutzt zur Diagnostik und Kontrolle bei Schluckstörungen, bei Untersuchungen des Verdauungstrakts (z.B. Speiseröhre, Magen, Darm), bei orthopädischen Bewegungsanalysen, in der Gefäßdiagnostik sowie während minimalinvasiver Eingriffe, bei denen der Arzt Katheter oder Instrumente gezielt steuern muss.
Ein großer Vorteil der digitalen Durchleuchtung liegt in der Kombination aus hoher Bildqualität und optimierter Strahlenexposition. Moderne Geräte sind mit Dosismanagementsystemen ausgestattet, die die Strahlenbelastung für den Patienten so gering wie möglich halten, ohne die Bildqualität zu beeinträchtigen.
Die Untersuchung ist in der Regel schmerzfrei und erfordert keine besondere Vorbereitung. Je nach Art der Untersuchung kann es jedoch notwendig sein, nüchtern zu bleiben oder Kontrastmittel zu verabreichen, um bestimmte Strukturen besser sichtbar zu machen.
Mammographie
Mammographie
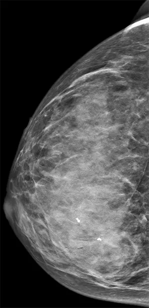
Die Mammographie ist ein spezielles, bildgebendes Röntgenverfahren, das der Untersuchung der Brust dient. Sie ist eine der wichtigsten Methoden zur Früherkennung von Brustkrebs und zur Abklärung von verdächtigen Veränderungen im Brustgewebe.
Bei der Mammographie wird die Brust zwischen zwei speziellen Röntgenplatten vorsichtig komprimiert. Diese Kompression ist notwendig, um die Brust gleichmäßig zu glätten und so eine möglichst scharfe und detailreiche Aufnahme zu ermöglichen. Durch die Kompression wird zudem die Strahlenbelastung reduziert und Bewegungsunschärfe vorgebeugt. Die Untersuchung selbst dauert nur wenige Minuten.
Die Mammographie kann sowohl im Rahmen der Vorsorge als auch bei Beschwerden wie Knoten, Schmerzen oder Hautveränderungen durchgeführt werden. Sie ermöglicht es, kleinste Verkalkungen, Gewebeveränderungen oder Knoten sichtbar zu machen, die oft noch nicht tastbar sind. Durch die hohe Auflösung der Bilder können auch sehr frühe Stadien von Brustkrebs erkannt werden, was die Heilungschancen deutlich verbessert.
Für Frauen ab dem 40. Lebensjahr wird die Mammographie regelmäßig empfohlen, bei erhöhtem familiärem Risiko auch schon früher. In speziellen Screening-Programmen wird die Mammographie häufig alle ein bis zwei Jahre angeboten.
Die Untersuchung ist sicher und wird von erfahrenem Personal durchgeführt. Obwohl die Kompression der Brust manchmal als unangenehm empfunden wird, ist sie nur von kurzer Dauer und notwendig, um qualitativ hochwertige Bilder zu erhalten. Die Strahlenbelastung bei der Mammographie ist gering und entspricht in etwa der natürlichen jährlichen Strahlenexposition.
Neben der klassischen Mammographie können je nach Bedarf ergänzende Verfahren wie Ultraschall oder Magnetresonanztomographie (MRT) eingesetzt werden, um die Diagnose zu sichern oder weitere Details zu klären.
Dr. med. Mete Dadak, MBA
Chefarzt
Radiologie
Dr. med. Mete Dadak, MBA
Facharztbezeichnung
Facharzt für Radiologie und Neuroradiologie
Schwerpunkte
Schwerpunkt interventionelle Radiologie und Neuroradiologie
Weiterbildungsbefugnisse
FA Radiologie: 60 Monate
SP Neuroradiologie: 24 Monate
Mitgliedschaften
DRG
DGNR
DeGIR
ESNR
BDNR
St. Vincenz-Kliniken GmbH Am Busdorf 2 33098 Paderborn Tel.:+49 5251 86 0